Trồng răng Implant toàn hàm All-on-4, All-on-6 tại Hải Dương – Giải pháp phục hồi răng mất toàn diện
1. Mất răng toàn hàm – nỗi ám ảnh của nhiều người trung niên & cao tuổi
Mất răng toàn hàm không chỉ là vấn đề thẩm mỹ mà còn ảnh hưởng nghiêm trọng đến:
-
Khả năng ăn nhai
-
Hệ tiêu hóa
-
Phát âm
-
Khuôn mặt (hóp má, lão hóa sớm)
-
Tâm lý, sự tự tin trong giao tiếp
Rất nhiều khách hàng tại Hải Dương chia sẻ:
“Ăn không ngon – nói không rõ – cười không tự tin – sống mệt mỏi hơn rất nhiều.”
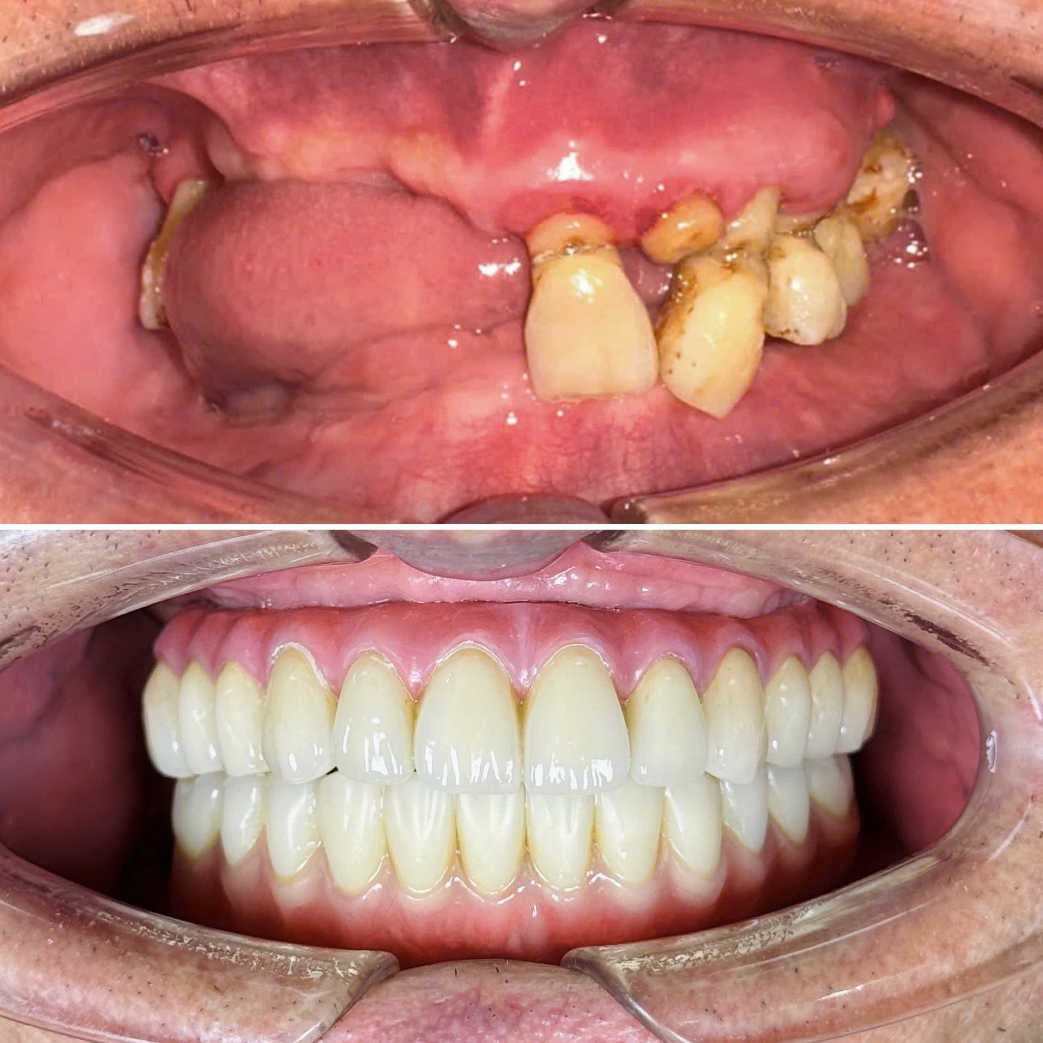
Trước đây, hàm giả tháo lắp là giải pháp phổ biến nhưng tồn tại nhiều hạn chế. Ngày nay, Implant toàn hàm All-on-4, All-on-6 được xem là bước tiến vượt bậc trong nha khoa hiện đại.
2. Trồng răng Implant toàn hàm là gì?
Trồng răng Implant toàn hàm là phương pháp sử dụng 4 hoặc 6 trụ Implant cấy vào xương hàm để làm trụ nâng đỡ cho một hàm răng cố định (12–14 răng).
Khác với Implant đơn lẻ:
-
Không cần cấy 8–10 trụ mỗi hàm
-
Giảm chi phí
-
Rút ngắn thời gian điều trị
-
Phù hợp cho người mất răng lâu năm, tiêu xương nhiều


3. All-on-4 và All-on-6 là gì? Khác nhau như thế nào?
3.1. Trồng răng Implant All-on-4
-
Sử dụng 4 trụ Implant/hàm
-
2 trụ phía trước đặt thẳng
-
2 trụ phía sau đặt nghiêng để tránh xoang – dây thần kinh
Ưu điểm:
-
Phù hợp người tiêu xương nhiều
-
Ít xâm lấn
-
Chi phí thấp hơn
-
Thời gian điều trị nhanh
3.2. Trồng răng Implant All-on-6
-
Sử dụng 6 trụ Implant/hàm
-
Phân bổ lực nhai đều hơn
Ưu điểm:
-
Độ ổn định cao
-
Khả năng ăn nhai gần như răng thật
-
Tuổi thọ rất cao
Phù hợp người có mật độ xương tốt.
3.3. Bảng so sánh All-on-4 và All-on-6
| Tiêu chí | All-on-4 | All-on-6 |
|---|---|---|
| Số trụ | 4 | 6 |
| Khả năng chịu lực | Tốt | Rất tốt |
| Mức độ tiêu xương | Phù hợp tiêu xương nhiều | Xương còn tốt |
| Chi phí | Thấp hơn | Cao hơn |
| Tuổi thọ | Cao | Rất cao |
4. Ai nên trồng răng Implant toàn hàm?
Implant toàn hàm đặc biệt phù hợp với:
-
Người mất răng toàn bộ hoặc gần toàn bộ
-
Người đang dùng hàm giả tháo lắp lỏng lẻo
-
Người mất răng lâu năm, tiêu xương nhiều
-
Người lớn tuổi muốn ăn nhai chắc khỏe
-
Người muốn giải pháp cố định, lâu dài
Tuổi cao KHÔNG phải là chống chỉ định nếu sức khỏe được kiểm soát tốt.
5. Trồng Implant toàn hàm có đau không? Có nguy hiểm không?
Đây là nỗi lo chung của hầu hết khách hàng.
???? Thực tế: Implant toàn hàm KHÔNG đau và an toàn nếu thực hiện đúng kỹ thuật
Tại Nha khoa HTC Hải Dương, quy trình được tối ưu:
-
Gây tê đa điểm
-
Máy phẫu thuật Piezotome (siêu âm)
-
Kỹ thuật đặt trụ chính xác bằng CT Conebeam 3D
-
Thời gian phẫu thuật nhanh gọn
Phần lớn khách hàng phản hồi:
“Nhẹ hơn nhổ nhiều răng cùng lúc”
6. Quy trình trồng răng Implant toàn hàm tại Nha khoa HTC

Bước 1: Thăm khám – chụp CT Conebeam 3D
-
Đánh giá xương hàm
-
Vị trí xoang – dây thần kinh
Bước 2: Lập phác đồ điều trị cá nhân hóa
-
Chọn All-on-4 hay All-on-6
-
Lựa chọn loại trụ phù hợp
Bước 3: Phẫu thuật đặt trụ Implant
-
Gây tê
-
Đặt trụ chính xác
-
Ít xâm lấn
Bước 4: Gắn hàm tạm (nếu đủ điều kiện)
-
Có răng sớm để ăn nhai nhẹ
Bước 5: Gắn hàm răng cố định vĩnh viễn
-
Kiểm tra khớp cắn
-
Đảm bảo thẩm mỹ & chức năng
7. Ưu điểm vượt trội của Implant toàn hàm so với hàm giả tháo lắp

| Tiêu chí | Implant toàn hàm | Hàm giả tháo lắp |
|---|---|---|
| Độ chắc chắn | Rất chắc | Lỏng |
| Khả năng ăn nhai | 90–95% | 30–40% |
| Cảm giác | Như răng thật | Vướng víu |
| Tiêu xương | Ngăn chặn | Tiêu xương nhanh |
| Thẩm mỹ | Cao | Hạn chế |
8. Chi phí trồng răng Implant toàn hàm tại Hải Dương
Chi phí phụ thuộc vào:
-
All-on-4 hay All-on-6
-
Loại trụ Implant
-
Tình trạng xương hàm
-
Loại răng phục hình
Tại Nha khoa HTC, khách hàng được:
-
Tư vấn rõ ràng
-
Báo giá minh bạch
-
Hỗ trợ trả góp
-
Không phát sinh chi phí ẩn

9. Vì sao nên trồng Implant toàn hàm tại Nha khoa HTC Hải Dương?
Nha khoa HTC được đánh giá là nha khoa uy tín hàng đầu Hải Dương trong lĩnh vực Implant nhờ:
-
✅ Bác sĩ chuyên sâu Implant toàn hàm
-
✅ Chụp CT Conebeam 3D
-
✅ Trang thiết bị hiện đại
-
✅ Quy trình vô khuẩn nghiêm ngặt
-
✅ Theo dõi và chăm sóc lâu dài
Nhiều khách hàng mất răng toàn hàm đã ăn nhai khỏe – cười tự tin – sống vui hơn sau điều trị.

10. Kết luận: Implant toàn hàm – giải pháp thay đổi chất lượng cuộc sống
✔ Implant toàn hàm All-on-4 / All-on-6 là giải pháp:
-
Hiện đại
-
An toàn
-
Lâu dài
-
Phù hợp cho người mất răng toàn bộ
Điều quan trọng nhất: chọn nha khoa uy tín – bác sĩ giỏi – quy trình chuẩn.
???? LỜI KHUYÊN TỪ BÁC SĨ HTC
Nếu bạn hoặc người thân đang:
-
Mất răng toàn hàm
-
Ăn nhai kém
-
Đang dùng hàm giả tháo lắp
Hãy đến Nha khoa HTC Hải Dương để được thăm khám – chụp phim – tư vấn miễn phí, tìm ra giải pháp phù hợp nhất cho sức khỏe lâu dài.


